Our work speaks for itself

Take a look at our recent clinical cases, from a simple filling to orthodontics, smile make-over, and implants. Each case tells a story of care, creativity, and results.

Case 1

Before

Invisalign/ Clear Aligner

Duration
7 months

After

After

Before

After

Before

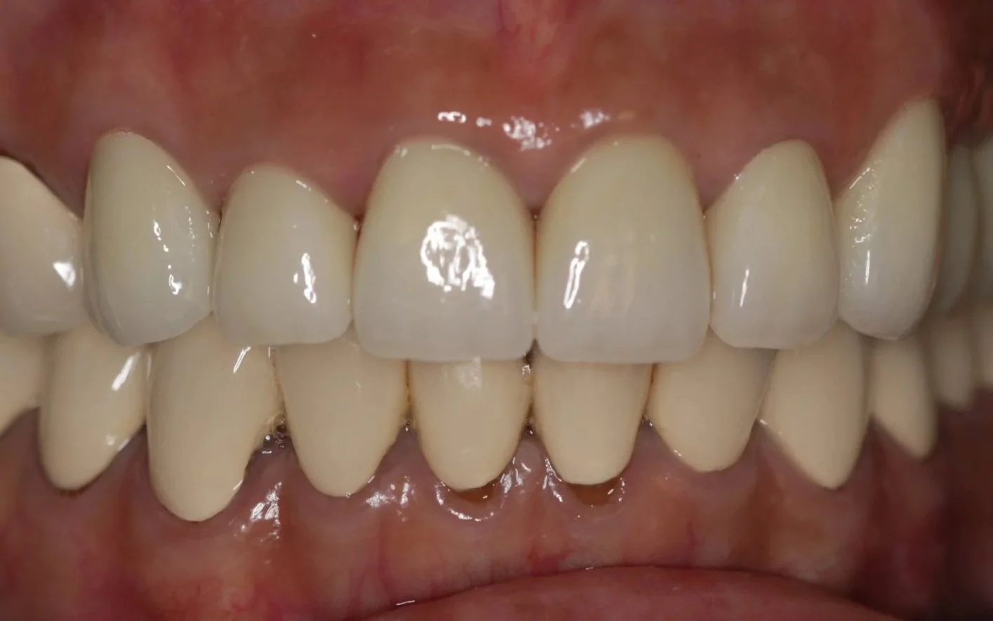
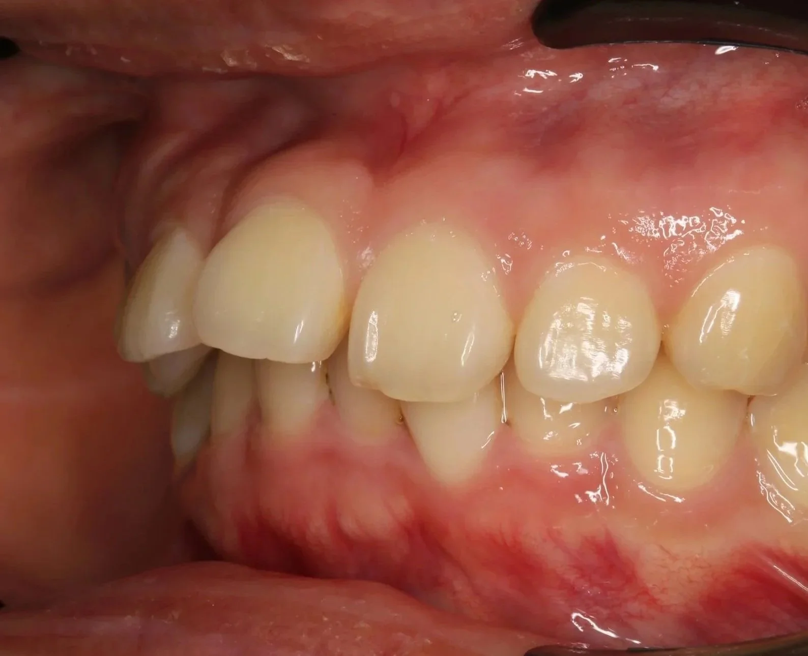
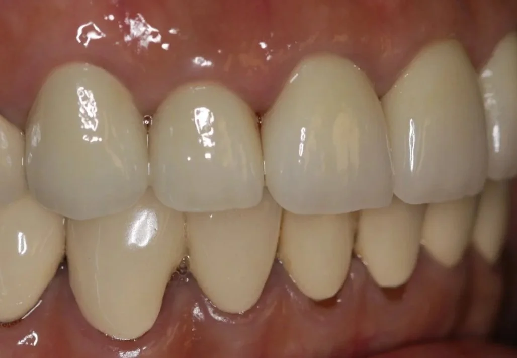
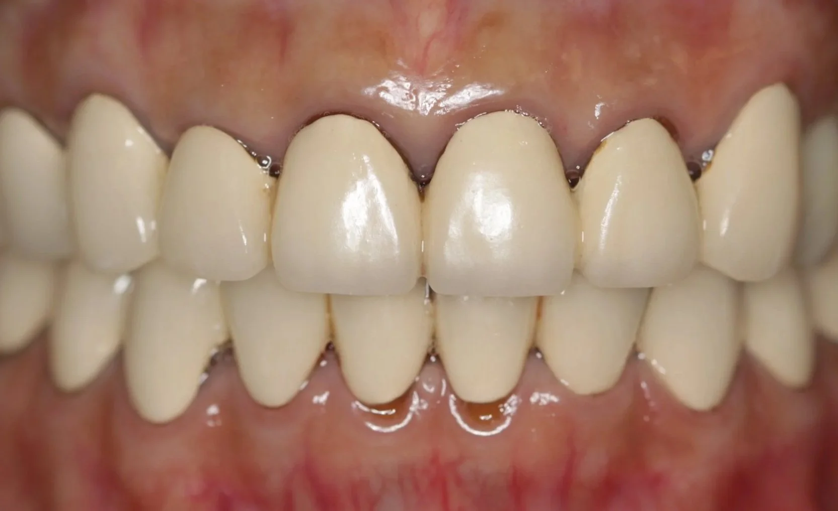
Case 2

Before

After

After

Before

Smile make-over (upper 6 front teeth)

Duration
2.5 weeks

After

Before