We offer BOTH clear aligners and traditional braces

50% of people say that your smile is the first physical trait that they notice!

A clear and discrete alternative to braces

Straight teeth is not only an important aesthetic consideration, but they also significantly enhance your bite, jaw function, periodontal health, and facilitate ease of cleansing to prevent cavities.

While traditional braces can be daunting and intimidating to many individuals, our clear aligner treatment presents a convenient and discreet solution that can help you achieve an ideal smile at almost any stage of life, whether you are a teenager or an adult.

A young person with black hair and earrings, smiling while wearing a white shirt, seated against a textured concrete background.
Close-up of a clear dental retainer with a reflective surface.

suresmile clear aligners

Our SureSmile Clear Aligners are designed with precision and care, offering a discreet and comfortable solution for achieving the beautiful, aligned smile you've always wanted.

Every journey to a radiant smile begins with an idea—your desire to enhance your appearance. With our advanced technology and personalized treatment plans, we ensure that you receive honest recommendations tailored to your dental needs. Experience high-quality results while enjoying the convenience of removable aligners that fit seamlessly into your lifestyle.

Let us help you tell your story with a smile. Discover the transformative power of SureSmile Clear Aligners at Greenway Dental today.

Clinical Portfolio

Explore a curated collection of our past work, where imagination meets strategy. Each case reflects our drive to deliver thoughtful, effective solutions.


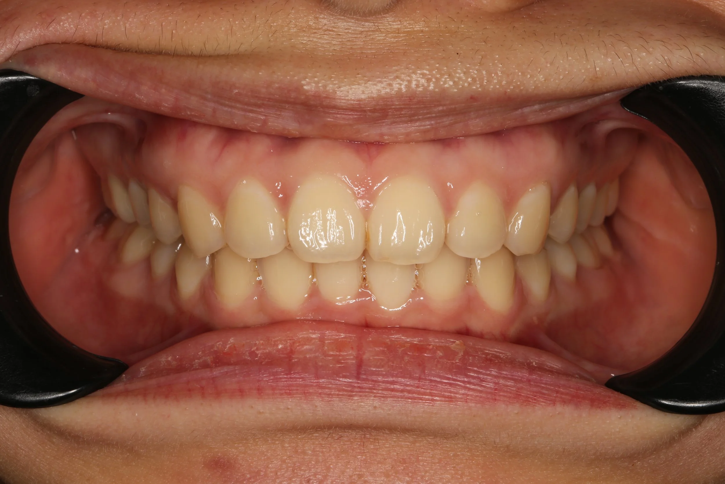
Before

Treatment Time
7 months

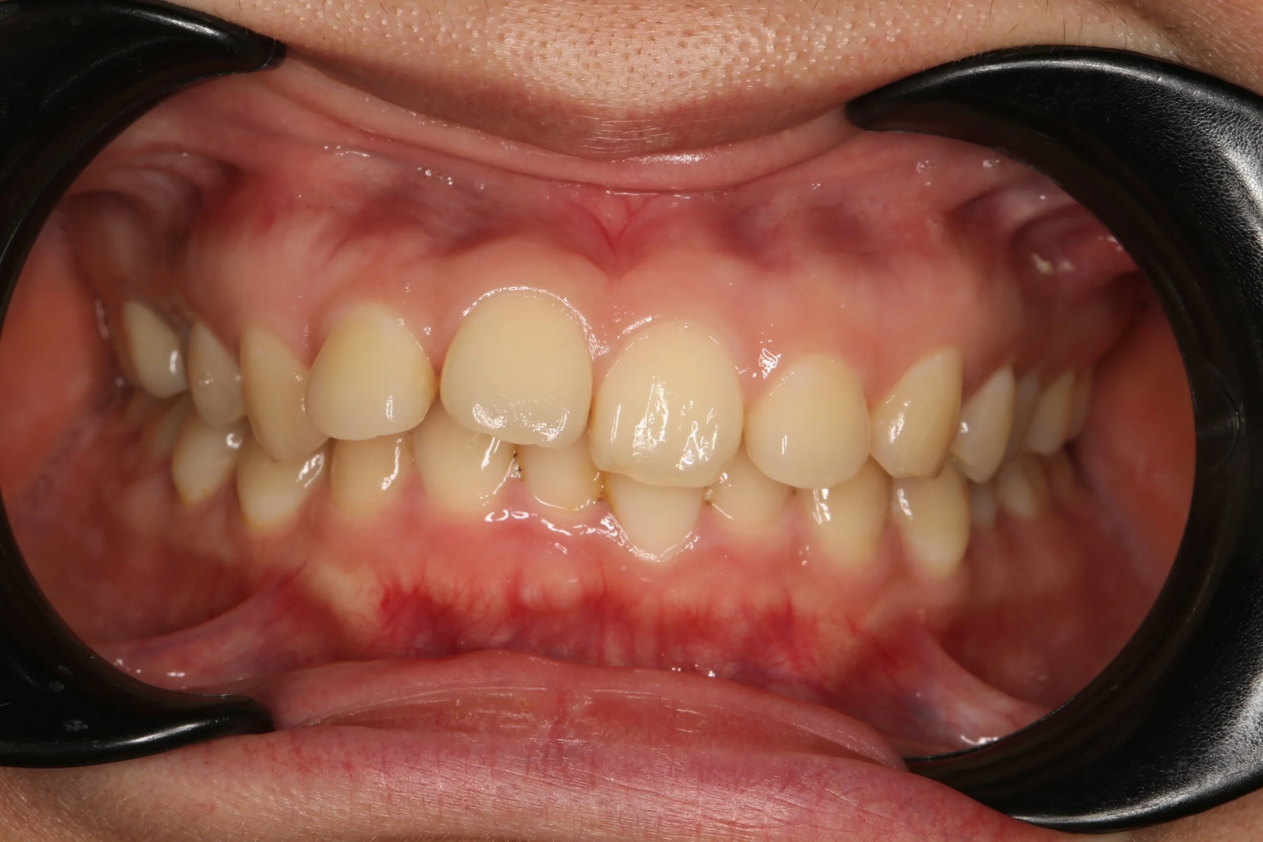
After

After


Before

FAQs

  • It all begins with an idea. Maybe you want to launch a business. Maybe you want to turn a hobby into something more. Or maybe you have a creative project to share with the world. Whatever it is, the way you tell your story online can make all the difference.

  • It all begins with an idea. Maybe you want to launch a business. Maybe you want to turn a hobby into something more. Or maybe you have a creative project to share with the world. Whatever it is, the way you tell your story online can make all the difference.

  • It all begins with an idea. Maybe you want to launch a business. Maybe you want to turn a hobby into something more. Or maybe you have a creative project to share with the world. Whatever it is, the way you tell your story online can make all the difference.

  • It all begins with an idea. Maybe you want to launch a business. Maybe you want to turn a hobby into something more. Or maybe you have a creative project to share with the world. Whatever it is, the way you tell your story online can make all the difference.